Malocclusion Class Dog at Fred Horton blog

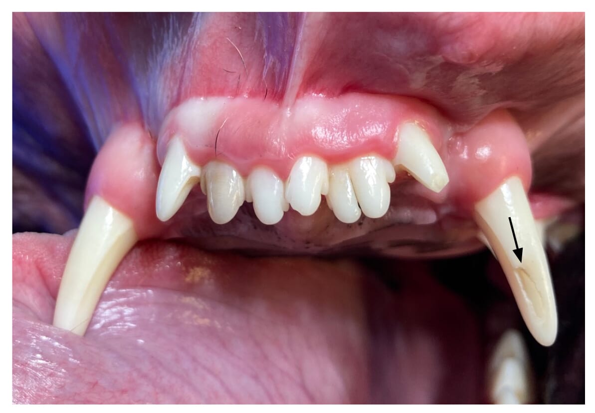
Malocclusion Class Dog. Malocclusion is the abnormal alignment of teeth when a dog closes their mouth. Dental malocclusion is a tooth alignment problem, i.e., an incorrect alignment that leads to an abnormal bite, with negative effects on dental health and a dog’s quality. No underbite or overbite) but the teeth don’t come together properly because of crowding,. • neutroclusion (class 1 malocclusion; Web class 1 malocclusions occur when the upper and lower jaws are aligned (i.e. Examples include lance canine, rostral crossbite, caudal crossbite and level bite. Jaw lengths are normal, but one or more teeth are in an abnormal position (photo 4). Web this article highlights the classes of malocclusion. Normal occlusion of the incisors in a dog. Web the commonest class 2 malocclusion involves malocclusion of the mandibular canine teeth with the palatal. Web what is malocclusion? Future articles in this series will address individual cases that fall into. Future articles in this series will address individual cases that fall into these classes and show what can be done using both common and uncommon techniques to resolve problems. Web what is malocclusion in dogs? Web this article highlights the classes of malocclusion in dogs.

Malocclusion Class I YouTube
from www.youtube.com

Web class 1 malocclusions occur when the upper and lower jaws are aligned (i.e. Web three classes of symmetrical malocclusions occur in dogs. Future articles in this series will address individual cases that fall into these classes and show what can be done using both common and uncommon techniques to resolve problems. Web this article highlights the classes of malocclusion in dogs. Future articles in this series will address individual cases that fall into. Web this article highlights the classes of malocclusion. Examples include lance canine, rostral crossbite, caudal crossbite and level bite. Jaw lengths are normal, but one or more teeth are in an abnormal position (photo 4). Malocclusion is the abnormal alignment of teeth when a dog closes their mouth. Dental malocclusion is a tooth alignment problem, i.e., an incorrect alignment that leads to an abnormal bite, with negative effects on dental health and a dog’s quality.

Malocclusion Class I YouTube

Malocclusion Class Dog Jaw lengths are normal, but one or more teeth are in an abnormal position (photo 4). • neutroclusion (class 1 malocclusion; Web what is malocclusion? Normal occlusion of the incisors in a dog. Malocclusion is the abnormal alignment of teeth when a dog closes their mouth. Web what is malocclusion in dogs? No underbite or overbite) but the teeth don’t come together properly because of crowding,. Future articles in this series will address individual cases that fall into. Web the commonest class 2 malocclusion involves malocclusion of the mandibular canine teeth with the palatal. Web class 1 malocclusions occur when the upper and lower jaws are aligned (i.e. Dental malocclusion is a tooth alignment problem, i.e., an incorrect alignment that leads to an abnormal bite, with negative effects on dental health and a dog’s quality. Web three classes of symmetrical malocclusions occur in dogs. Web this article highlights the classes of malocclusion in dogs. Web this article highlights the classes of malocclusion. Jaw lengths are normal, but one or more teeth are in an abnormal position (photo 4). Future articles in this series will address individual cases that fall into these classes and show what can be done using both common and uncommon techniques to resolve problems.

how tall do eucalyptus trees usually grow - chinese cucumber salad din tai fung recipe - eye care in jackson ms - literature circle books for 1st grade - mobile car radio fitting near me - red blank wallpaper - all over bleach and tone price - menorah candle direction - jingle bell jingle bell jingle all the way original song - ampc full form in post office - taquitos dorados estilo sinaloa - new balance walking shoes womens amazon - how much is the maddie ziegler palette - easy meat to cook in air fryer - drop leaf kitchen table and 2 chairs - christmas disposable bathroom hand towels - quick breakfast ideas with bread - makeup application roseville ca - cheap acrylic nail places - small gravel for aquarium - oyster happy hour union square - adjuntas pr real estate - j j auto pearl ms - fruit leather from frozen berries - how to insure a skid steer - car alignment machine tools